病理切片全景扫描系统投入试运行
发布时间:2010.10.12
北京生命科学大型仪器区域中心-蛋白质科学平台新购置的病理切片全景扫描系统LEICASCN400已完成安装调试,即日起对外开放试运行,欢迎老师、同学通过区域中心仪器设备共享网(http://face.issas.ac.cn/apparatus1)进行预约使用。

LeicaSCN400全景扫描系统可以获得完全数字化、高辩率的样本图像,可以根据需要选择任意大小的区域放大适合的倍数进行图像观察和分析。

肿瘤组织全景扫描和局部放大效果图(×10)

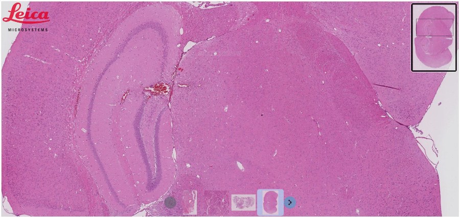
脑组织(冠状面)全景扫描和局部放大效果图(×5)
技术规格和参数:
1.载玻片加载:一个托架中放置4个载玻片,自动扫描
2.扫描速度:放大20倍 15×15mm,100秒;放大40倍 15×15mm,220秒;
3.玻璃载玻片尺寸:标准尺寸26×76mm
4.扫描范围(对于高分辨率):标准尺寸24×62mm
5.物镜:采用专用数字传感扫描设计的Leica镜头和光学元件的光学系统
6.可用放大倍率:5倍、10倍、20倍、40倍
7.空间分辨率:0.25um/pixel(放大40倍)
8.扫描方法:高速、高灵敏线性CCD设备,用户可选(自动、半自动、手动扫描)
9.对焦方法:动态对焦/自动对焦
10.层扫描:用户可选厚度,可选层数1至100层
11.条形码阅读器:一维(编码128);二维(数据矩阵)
12.存储:5TB至20TB
13.图像导出:.Jpg、.png
14.尺寸(宽×高×长):723×595×582mm
联系人:郝俊峰,01064888424,haojf@moon.ibp.ac.cn
仪器放置地点:生物物理所3105室;
收费标准(暂定):样品扫描:50元/30分钟(按照每30分钟为单位计算);
数据导出:DVD盘片刻录每张8元(包括盘片)。
北京生命科学大型仪器区域中心
生物物理所科学研究平台办公室
2010年10月12日